診療だより
カテゴリー一覧
皮膚腫瘍
-
鼻のできもの ーその1ー
2026-02-18 UP! カテゴリー:皮膚腫瘍, 診療だより
鼻のできものに困っていませんか?
鼻のできものは鑑別が大切です。
・脂腺増殖症
・fibrous papule of the nose
(線維性丘疹)
・ニキビ後のケロイド
などなど。
今回は40代の女性にご協力いただきました。
15年前より鼻にできものがあります。
形成外科クリニックでレーザー治療を
受けましたが、改善せず、ケロイドとの
診断でステロイドテープを貼っていました。
まったく変化がないので、当院を受診。
初診時の臨床写真

正直、診ただけで診断するのは困難な
症例です。
リンパ腫、内臓ガンの皮膚転移なども鑑別
して皮膚生検しました。
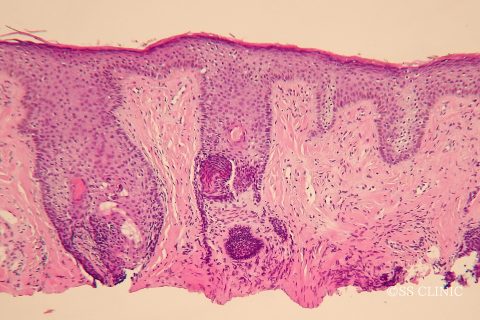
病理組織はfibrous papule(線維性丘疹)です。

レーザーで皮膚結節より一回り広く削ります。

治療後はハイドロコロイドテープを貼り
治りを促進させます。
経過は良好で、喜んでいただきました。
いづれ経過写真を供覧いたします。
名古屋で鼻のできものにお困りの方は
SSクリニックにご相談ください!
【リスク・副作用】
一時的な創部のびらん、潰瘍。
発赤、炎症後色素沈着、瘢痕など。
【治療費用】
初診料もしくは再診料
鼻できもの1mm 7,000円
エルビウムヤグレーザーで治療します。
(いづれも税込みです。麻酔代は診察料に
含まれています)

